医療機関が開発・推奨!

最先端セルフホワイトニングで、
自然な白い歯をあなたのものに!

KOBEホワイトニングについて

医療 × 美容

「お客様の好きな時に、好きな白さに」
医療機関監修の安全でホワイトニング効果の高い
次世代型セルフホワイトニング商品です。
これまで歯科クリニックでしか販売していなかった
人気商品をご好評につき、オンライン販売を
開始することが決定しました!
自分らしい白く綺麗な歯を取り戻したい…
このような方へご利用をオススメします!
  • セルフケアのホワイトニングの
       効果に納得できなった…
  • 不自然な真っ白い歯ではなく、
       自然な白さにしたい…
  • クリニックでのホワイトニングは
       費用が高い…
  • 仕事が多忙で継続的に
       クリニックへ通院が出来ない…
  • 一度綺麗になってもすぐに元に
       戻ってしまう…
  • 手軽に自分のペースで、
       好きな白さで歯を維持したい…
  • ホワイトニングは痛いし
       沁みるので嫌だ…
  • セルフケアのホワイトニングの効果に納得できなった…
  • 不自然な真っ白い歯ではなく、自然な白さにしたい…
  • クリニックでのホワイトニングは費用が高い…
  • 仕事が多忙で継続的にクリニックへ通院が出来ない…
  • 一度綺麗になってもすぐに元に戻ってしまう…
  • 手軽に自分のペースで、好きな白さで歯を維持したい…
  • ホワイトニングは痛いし沁みるので嫌だ…

このような患者様の
声を多数頂き、
医療機関で開発された
独自の次世代ホームケア商品を
ご提供します!

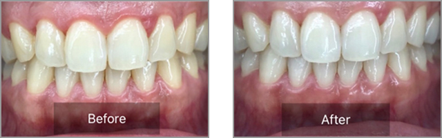
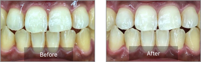
Before & After

30代 女性

40代 女性

40代 女性

タバコを吸う方や
ワインやコーヒーを飲む方でも、
歯の白さは持続されますので
ご安心ください!
ご購入はこちら ▶︎

セルフホワイトニングとは?

セルフホワイトニングはお客様自身で行う、
低価格・短時間で実現可能な
歯のホワイトニング(クリーニング)の方法です。
施術中・施術後の痛みは
一切ありません。

低価格

歯科医院のホワイトニングと比べ、
1回あたりの施術料金が¥4000前後で
ホワイトニングが受けられます。
回数券の購入によっては、
¥3000台での施術が実現できます。

短時間・短期間

1回あたりの施術時間は
トータルで約30分!
1回の施術でも効果は発揮しますが、
初めの数回は1~2週間に1回の周期、
その後はメンテナンスとして
1か月に1回のペースで
効果をしっかりと持続していきます。

安心安全

弊社のLEDライトは
安全な波長域を使用しているので
日焼けや火傷の心配はなく
安心して施術を受けられます。
施術で使用しているデンタル溶液は、
食品等に使用されている
無機化合物で作られています。
国内工場で製造しているので
安心して施術ができます。

自然な白さ

予め施術の回数は決まっておらず、
ご自身のペースに合わせて施術が可能です。

医療機関による証明書

当商品に関する、医療機関での監修証明と
ご利用に関する安全性が認められています。

SCTCシステムのご紹介

「KOBEホワイトニング」のホワイトニングは、SCTCシステムによって歯を白く清潔にします。SCTCシステムとは弊社独自の技法です。
この技法により今までは取れなかった歯の汚れやステインを効果的に除去し健康で白い歯を実現いたしました。
日常のブラッシングでは、落としきれないステイン(コーヒーやたばこのヤニ等の着色汚れ)をKOBEホワイトニングの溶液を歯面に塗布しマシーンの光を当てることにより、化学反応がおき、汚れが分解して浮き上がります。
また、虫歯菌や歯周病菌をやっつけてくれる効果や口腔内の雑菌もやっつけてくれるので口臭予防や口腔ケアにも最適です。
歯の表面のコーティング作用もあるので汚れが付きにくい歯になります。

SCTCシステムのしくみ

汚れ分解機能

KOBEホワイトニング溶剤を塗布

青・赤ライトを照射

汚れが除去される

KOBEホワイトニングの溶剤

医学博士により、科学的な溶剤の効果検証を行いました。数値結果は以下の通りです。
尚、数値の検証に関してはアナログ的なシェードガイドを使用せずデジタルで数値が出るもので測定しております。
※数値が大きいほど科学的清掃効果が
高いことを示しています。
(施術一回目後 0.88 / 施術二回目後 0.25)

他のホワイトニングとの比較

市販のホワイトニング用品を用いた
セルフホワイトニングの場合
#歯磨き #歯磨き粉 #口腔ケア
歯磨きの制度によって効果に差が出る。
歯間等書き残しが多い。
弊社の機械を用いた
ホワイトニングの場合
#SCTCシステム
汚れを科学的に浮き上がらせ、除去する。
薬剤が隅々まで行きわたるので歯ブラシが届かないところまでホワイトニングできる。
弊社の機械を用いた
ホワイトニングの場合
#PMTCシステム
汚れを器具やブラシで落とす。
歯のエナメル質中に薬剤が浸透して結晶構造を変質させる。
市販のホワイトニング用品を用いた
セルフホワイトニングの場合
#歯磨き #歯磨き粉 #口腔ケア
歯磨きの制度によって効果に差が出る。
歯間等書き残しが多い。
弊社の機械を用いた
ホワイトニングの場合
#SCTCシステム
汚れを科学的に浮き上がらせ、除去する。
薬剤が隅々まで行きわたるので
歯ブラシが届かないところまでホワイトニングできる。
弊社の機械を用いた
ホワイトニングの場合
#PMTCシステム
汚れを器具やブラシで落とす。
歯のエナメル質中に薬剤が浸透して結晶構造を変質させる。

ダブルホワイトニングで効果が倍増

弊社のホワイトニング専用歯磨き粉の有効成分モノフルオロリン酸ナトリウムにより歯を傷つけずに、浮き上がった汚れを除去し、
エナメル質の再石灰化を促し虫歯になりにくい歯にしてくれます。
また、ポリリン酸ナトリウムによりコーティング効果をもたらし汚れが付きにくい歯にして輝きを与えます。
グリチルリチン酸ジカリウムにより、歯周病、歯肉炎、口臭を抑制してくれます。
これらを併用してすることにより、ダブルホワイトニング効果を実現いたします。

歯科ホワイトニングとの比較

歯科医院
ホワイトニング

溶剤の主成分

過酸化水素

酸化チタン
酸化タングステン

光 源

単色LEDライトで
強い熱を発しない

2色又は3色のLEDで
強い熱を発しない

効 果

1回でも効果は
期待出来るが
継続することにより
効果が持続
1回でも効果は
期待出来るが
継続することにより
効果が持続

人体への影響

過酸化水素を
歯に浸透させるため
時として歯痛が発生したり
歯茎に付着すると
炎症を起こすことがある
酸化チタンは
歯や歯茎への付着、
体に取り入れても問題ない
そのほか殺菌効果や汚れが
付きにくくなる

施術の痛み

痛む場合が多い
繰り返すと知覚過敏の
リスクがある

なし

作 用

一般的には歯の表面のエナメル質の
結晶構造を変質させる

有効成分が黄ばみを浮き上がらせ除去し、
その他
抗菌・殺菌・消臭効果が期待できます

料金(1回あたり)

10,000円〜100,000円

4,000円

食事制限

あり

なし

虫歯
人工歯への適応性

レントゲン検査等が必要で
歯質や詰め物の有無により
施術できない場合もある
歯質や詰め物の有無、
過敏症等に関わらず
施術できる

汚れの不着制

術後一般的に高まる

術後一般的に低くなる

弊社のホワイトニングは従来の歯科医院のホワイトニングと比べて、
お客様のご負担(お金・痛み)が軽減されたサービスです。
更に、色の戻りが少ない(汚れにくい)という特徴があります。
歯科医院のホワイトニングは、30分で終わるという広告メッセージを度々目にします。
しかし、それは施術時間であり、待ち時間や移動時間を含めるとホワイトニングに2時間ほど時間を費やしていることになります。
セルフホワイトニングなら、たったの30分ほど。
その差は歴然です。
あなたの大切な時間を有効に使うことができます。

ご利用方法

歯磨き
通常の歯磨きをしてワセリンを塗布します。
自宅で簡単に!
本格的なホワイトニングができる!
口元を美しく保ちたい方へ
ご購入はこちら ▶︎
全国の歯科クリニックでの
実際に使用されている商品なので
ホワイトニング効果も安全性も
実証されています。

お客様の声

全国より喜びの声をいただいております。
歯のホワイトニングなら
KOBEホワイトニングをご利用ください。

ご購入のご案内

KOBEホワイトニング ハンディタイプ

Handy Shine White Pro

便利なハンディタイプ、
完全オリジナル自社商品。

今なら薬剤3ヶ月分12個付!!
キャンペーン価格!

¥50,000(税込)

一般医療機器(特定保守管理医療機器)を取得済み

仕様

セット内容

照射器本体・電源コード・取扱説明書・シェードガイド開口器・照射口カバー・保護メガネ・溶液・保証書
薬剤3ヶ月分12個付

保証期間

1年
ご購入はこちら ▶︎

社名

KOBEホワイトニング株式会社

所在地

〒651-0085
兵庫県神戸市中央区八幡通1-1-14
IPSX SOUTH701

TEL

078-200-5260

<10:00-18:00 (土日祝日を除く)>

事業内容

美容関連事業 ほか

特定商取引法表示

KOBEホワイトニングナビストア

Copyright © KOBEホワイトニング株式会社 All Rights Reserved.